
ドック一覧
medical check
ドック一覧
-

人間ドック
京都で気軽に人間ドックを受けられます。詳細な検査で充実した内容ながら、半日で受けられるコースもご用意しました。 -

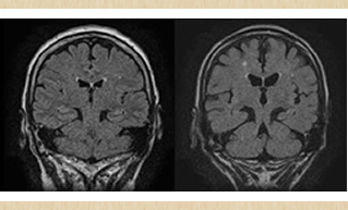
脳ドック
京都武田病院では、脳ドックを行うことで脳梗塞、脳腫瘍などの脳障害を経験豊富な脳神経外科の専門医が早期発見に努めます。 -

ドックコース・検診内容
人間ドックのお申込や、料金、各種オプションについてのご質問は当クリニックまでお気軽にご連絡ください。
-

もの忘れ(認知症)オプション
~アルツハイマー型認知症の早期発見のために~※脳ドックを受けられる方のみのオプションとなります。 -

ご利用者様の声
患者様よりたくさんの感謝と励ましのお言葉をいただいており、その中の一部をご紹介させていただきます。 -

最新MRIの導入
京都武田病院では、1.5テスラという高解像度MRI検査機種を導入しました。 最高クラスの画質により、診断能力が高まります。






